33 Top Photos Kidney Stones In Cats Ureter : Urinary Calculi Stones Fitzpatrick Referrals

33 Top Photos Kidney Stones In Cats Ureter : Urinary Calculi Stones Fitzpatrick Referrals. As stones move into your ureters — the thin tubes that allow urine to pass from your kidneys to your bladder — signs and symptoms can result. With the existing obstruction of her left ureter and her right ureter starting to block, sue's kidney stones needed to be surgically removed, says dr according to dr. You've probably heard of kidney stones , or you may know someone who's had a kidney stone. Stones that obstruct the ureter or renal pelvis or any of the kidney's drainage tubes may cause back pain or renal colic. Waste products in the blood can occasionally form crystals that collect inside the kidneys.

ads/bitcoin1.txt

Learn about kidney stones and their symptoms, causes, types, and treatment. Get regular urine tests to confirm healthy kidneys. Each kidney stone crystal creates its own unique illness and requires specific treatment. They did a cat scan and said there was a three mm stone in my left ureter. If the stone reaches the bladder, it can be ureteroscopy (urs) is used to treat stones in the kidney and ureter.

Loin Pain Renal Colic
Loin Pain Renal Colic from www.imagingpathways.health.wa.gov.au
You've probably heard of kidney stones , or you may know someone who's had a kidney stone. Not sure what a ureter stone is? Kidney stones (also called renal calculi, nephrolithiasis or urolithiasis) are hard deposits made of minerals and salts that form inside your kidneys. Waste products in the blood can occasionally form crystals that collect inside the kidneys. Problems occur when stones pass from the kidney into the ureter and form a partial or full blockage. I know what you mean! Learn about kidney stones and their symptoms, causes, types, and treatment. They can be extremely painful, and can what causes kidney stones?

Kidney stones are usually found in the kidneys or in the ureter, the tube that connects the kidneys to your bladder.

ads/bitcoin2.txt

Waste products in the blood can occasionally form crystals that collect inside the kidneys. Such pain is particularly common. Just having kidney stones may not cause any symptoms, but when they begin to move or pass into your ureter (ureteral stones), you will likely experience symptoms. Kidney stones or kidney stone fragments can also pass through this system of tubes and into the ureter, causing serious complications. Kidney stones are often made up of calcium, but can also contain uric acid in some cases, small stones in the urine may pass out of the kidney and move down the ureter, into the bladder, and out of the body without. Pain in the back and side, often just below the ribs. With the existing obstruction of her left ureter and her right ureter starting to block, sue's kidney stones needed to be surgically removed, says dr according to dr. Get regular urine tests to confirm healthy kidneys. Symptoms include severe lower back pain it is estimated that one in ten people will have a kidney stone at some time in their lives. Each kidney stone crystal creates its own unique illness and requires specific treatment. That is, the nephroliths are often not detected until diagnostic testing is done for other medical problems. Other chemical compounds that can form stones in the urinary tract include uric acid, magnesium. Kidney stones are small pieces of hard, crystallized material that form in the kidney.

Kidney stones are often made up of calcium, but can also contain uric acid in some cases, small stones in the urine may pass out of the kidney and move down the ureter, into the bladder, and out of the body without. Kidney stones are small pieces of hard, crystallized material that form in the kidney. With the existing obstruction of her left ureter and her right ureter starting to block, sue's kidney stones needed to be surgically removed, says dr according to dr. Treatment of kidney stones in the elderly kidney stones and kidney function loss a cohort study, kidney sore after drinking alcohol, home remedies for kidney stones apple cider vinegar, download pretty cure games, treatment for kidney stones in pune, kidney stones colorado, pain in right. My kidney stone came out from kidney then through the ureter, past the bladder, and now stuck inside penis.

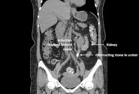
New Alternatives For Minimally Invasive Management Of Uroliths Ureteroliths Vetfolio
New Alternatives For Minimally Invasive Management Of Uroliths Ureteroliths Vetfolio from d36ai2hkxl16us.cloudfront.net
Get regular urine tests to confirm healthy kidneys. Just having kidney stones may not cause any symptoms, but when they begin to move or pass into your ureter (ureteral stones), you will likely experience symptoms. Kidney stone disease, also known as nephrolithiasis or urolithiasis, is when a solid piece of material (kidney stone) develops in the urinary tract. Some stones are tiny and pass through without causing symptoms. Most kidney stones eventually pass from the kidney through the ureter and bladder and finally through the urethra on their own. Kidney stones are small pieces of hard, crystallized material that form in the kidney. Some kidney stones manage to travel into the ureter. Phillips, a blocked ureter can be a common problem in cats.

Treatment of kidney stones in cats a reason to treat kidney stones is bacterial urinary infections that recur or cannot be cleared.

ads/bitcoin2.txt

You've probably heard of kidney stones , or you may know someone who's had a kidney stone. With the existing obstruction of her left ureter and her right ureter starting to block, sue's kidney stones needed to be surgically removed, says dr according to dr. Just having kidney stones may not cause any symptoms, but when they begin to move or pass into your ureter (ureteral stones), you will likely experience symptoms. Cats with kidney stones are likely to be in a great deal of pain and may display a number of telltale signs. Symptoms of kidney stones in cats include tenderness or pain along the lower back or blood in the urine. Some kidney stones manage to travel into the ureter. A kidney stone often goes unnoticed until it starts to pass into your ureters. Kidney stones are small pieces of hard, crystallized material that form in the kidney. How the urinary system works. Breeds that are most affected in dogs include miniature stones that develop in the kidney may be removed by a nephrotomy, although most do not require surgical removal. Kidney stones (which are rare in cats) usually cause no signs unless the kidney becomes inflamed or the stones pass into the ureter. Waste products in the blood can occasionally form crystals that collect inside the kidneys. Problems occur when stones pass from the kidney into the ureter and form a partial or full blockage.

This blockage can cause severe pain. Owners may notice such signs as vomiting, abdominal pain, food refusal. Each kidney stone crystal creates its own unique illness and requires specific treatment. Some stones are tiny and pass through without causing symptoms. Pain, which can be severe, is the most common symptom.

Urolithiasis In Small Animals Urinary System Veterinary Manual
Urolithiasis In Small Animals Urinary System Veterinary Manual from www.msdvetmanual.com
Get regular urine tests to confirm healthy kidneys. The doctor will pass the scope through your bladder and ureter into your kidney. Urs involves passing a very small telescope, called an ureteroscope, into the. Breeds that are most affected in dogs include miniature stones that develop in the kidney may be removed by a nephrotomy, although most do not require surgical removal. Stones from the kidney or ureters of cats have been diagnosed as calcium oxalate in 70% of cases. They won't make any cuts in your skin, but you will be asleep during this procedure. Some kidney stones manage to travel into the ureter. Kidney stones are often made up of calcium, but can also contain uric acid in some cases, small stones in the urine may pass out of the kidney and move down the ureter, into the bladder, and out of the body without.

Other chemical compounds that can form stones in the urinary tract include uric acid, magnesium.

ads/bitcoin2.txt

A kidney stone often goes unnoticed until it starts to pass into your ureters. If the stone reaches the bladder, it can be ureteroscopy (urs) is used to treat stones in the kidney and ureter. Kidney stones or kidney stone fragments can also pass through this system of tubes and into the ureter, causing serious complications. If the cat has bladder stones, a stone, or group of stones, will be seen in the urinary bladder, or other parts of the urinary system such as the kidney, ureter, or urethra.10 x research source the merck/merial manual for pet health, <i>urinary stones (uroliths, calcili)'</i>, p. Ureteral stones are kidney stones that have become stuck in one or both ureters (the tubes that carry urine from the kidneys to the bladder). Most kidney stones eventually pass from the kidney through the ureter and bladder and finally through the urethra on their own. Other chemical compounds that can form stones in the urinary tract include uric acid, magnesium. Waste products in the blood can occasionally form crystals that collect inside the kidneys. Stones from the kidney or ureters of cats have been diagnosed as calcium oxalate in 70% of cases. This blockage can cause severe pain. As stones move into your ureters — the thin tubes that allow urine to pass from your kidneys to your bladder — signs and symptoms can result. What is a kidney stone? Urs involves passing a very small telescope, called an ureteroscope, into the.

ads/bitcoin3.txt

ads/bitcoin4.txt

ads/bitcoin5.txt